Smile Gallery: Cosmetic Dentistry
Not everyone is born with a bright, white, straight smile.
Feeling self-conscious about your smile can negatively impact your entire life. So why live with a smile you don’t want to show off?
At Carrollwood Village Dental, Dr. Richard Mancuso uses the artistry of cosmetic dentistry to make lackluster smiles spectacular. See for yourself and take a look at the pictures in our smile gallery.
Will yours be the next smile that is transformed?



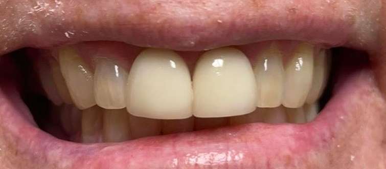
This case highlights a patient who desired a more youthful and vibrant smile. The initial presentation included worn and slightly misaligned teeth. Using a combination of cosmetic procedures, including dental crowns, we enhanced the natural aesthetics of the patient's smile. The final result is a subtle yet impactful transformation that complements the patient's facial features and exudes confidence.
Ready to Elevate Your Smile?
Call us today to schedule your consultation with your Tampa dentist, Dr. Mancuso.



In this transformative smile upgrade, the patient presented with discolored and uneven teeth that affected their confidence. Through a comprehensive treatment plan, we achieved a brighter, more harmonious smile. The after photo showcases a significant improvement in both color and alignment. Now, this patient has renewed confidence and couldn't be happier with their smile.
Contact Our Tampa Dentist Today
Are you unhappy with your smile? Give us a call, and we'll help you achieve the smile of your dreams!



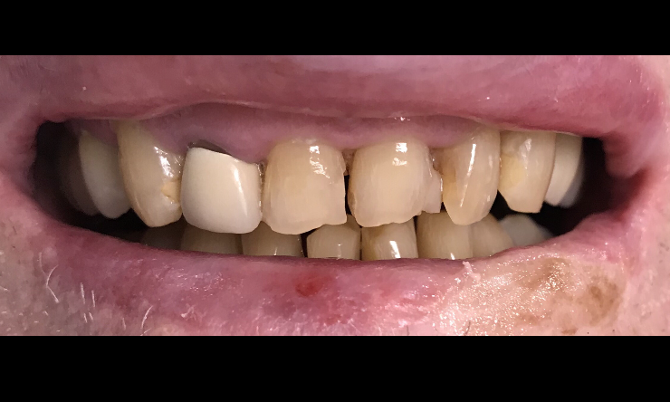
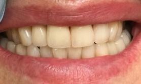
This patient came to our office with old dental crowns that were noticeably bulky and did not blend well with the surrounding natural teeth. The color mismatch and unnatural appearance of the crowns made them stand out, affecting the overall aesthetics of her smile. She was looking for a solution that would improve both the look and feel of her teeth while maintaining a natural appearance.
Dr. Mancuso carefully evaluated her case and recommended replacing the old restorations with all-ceramic crowns. These crowns are known for their lifelike translucency and ability to closely mimic the color ...



It's tough to feel confident with gaps in your smile! Dr. Mancuso restored the front six sight-line teeth for this patient, who can now smile proudly again.
Learn What's Possible for You!
Contact your cosmetic dentist in Tampa, FL, at (813) 961-2200 to learn what's possible for your smile.



This patient had some old crowns that were done over the past 10 years. She did not like the color of her teeth and gum recession.
We replaced the old crowns with new all ceramic crowns for a beautiful smile!



This patient presented with chipped misaligned teeth on her old denture that were hiding her best smile. Dr. Mancuso made a brand new denture in Tampa to design a more symmetrical and beautiful smile for our patient.
Just look at her confident smile now!



This patient presented with dental veneers beginning to darken at the gumline. This indicates that bacteria has reentered the tooth beneath the veneers and started to cause more significant damage, not to mention dulling the appearance of the original restorations.
Cosmetic Dentistry in Tampa
Tampa cosmetic dentist, Dr. Mancuso, replaced the patient's veneers, with new porcelain crowns adding two additional, eight instead of six, to round out the patient's beautiful smile.
She loves her new fuller and more natural smile!



Gaps between front teeth were keeping this patient from smiling his best smile! So Dr. Mancuso replaced that missing tooth with a dental implant that looks, feels, and functions like the patient's natural tooth.
Dental Implants to Replace Missing Teeth
Now he can chew, eat, and smile with ease again!
Learn more about dental implants in Tampa, FL, by contacting your team at Carrollwood Village Dental at (813) 961-2200.
Dentistry can be life-changing! This full smile makeover addresses missing and compromised teeth and periodontal concerns. This patient can now enjoy eating and smiling with confidence again!
You may also notice that their new smile changes their facial structure.
Learn what's possible for your smile by calling your Tampa cosmetic dentist at (813) 961-2200.



Dr. Mancuso created this dream smile using only one porcelain veneer to cover a congenitally small front tooth that was an integral part of this patient's smile line.
The veneer is designed to complement the patient's smile while also providing biting and chewing functions so he can eat with ease.
Porcelain veneers in Tampa can change your smile too! Call Carrollwood Village Dental at (813) 961-2200 to learn how.



A dental implant restores the function this patient needs and provides the aesthetics she wants for her smile. Now she can eat what she wants and smile confidently again!
Contact your team at Carrollwood Village Dental to learn more about dental implants in Tampa, FL.


This patient presented with chipped and fractured teeth, and an old failing restoration. Dr. Mancuso used porcelain crowns to restore and enhance this patient's smile.
Crowns Are Versatile for Function and Cosmetics
Contact your cosmetic dentist in Tampa, FL, and schedule an evaluation to learn what's possible for your smile!


This patient presented with a failing bridge that was detracting from the appearance of their smile. Dr. Mancuso restored the tooth blending it with the other front teeth for a seamless smile.
Contact Your Tampa Cosmetic Dentist
If you'd like to learn more about the possibilities for your smile, we invite you to contact your trusted dentist in Tampa at (813) 961-2200.


Old, worn-out crowns got revamped for this patient with new, brighter ceramic porcelain crowns. Porcelain crowns in Tampa provide the durability you need for comfortable eating and chewing and the aesthetics you want for a beautiful smile!
Your New Smile Awaits!
Contact your cosmetic dentist in Tampa and book an evaluation online or call us at (813) 961-2200.


Even small chips on your teeth can cause you to feel self-conscious about your smile. Cosmetic bonding in Tampa, FL, is a simple and affordable solution to repair minor cosmetic concerns like chipped teeth. It's still your smile, only better!
Dental Bonding Is Fast and Affordable
If you need only minor repairs to your teeth, dental bonding may be a cosmetic dental solution for you.


Dental crowns and implants united in this case to create the smile this patient has always wanted! New crowns replace old restorations and blend flawlessly with an implant that fills in the gap, restoring function and aesthetics for this patient.
It's never too late to achieve your dream smile! Contact your Tampa cosmetic dentist to learn what's possible for you.


Dr. Mancuso adds a custom dental implant to restore this patient's front tooth. It's aesthetically blended to complement their smile, allowing them to enjoy a comfortable chewing function.
If you have questions about dental implants in Tampa and if they can restore your smile, contact our team at (813) 961-2200 to schedule an evaluation with Dr. Mancuso.


This patient presented with fractured, broken teeth that Dr. Mancuso restored with porcelain crowns. A dental crown completely covers the damaged tooth to restore form, function, and aesthetics.
Learn More About Dental Crowns in Tampa
If you have chipped or broken teeth, contact us at (813) 961-2200 to learn how we can help.

A dental implant restored this patient's smile and delivered the function they need for comfortable eating and chewing again. Dental implants in Tampa are considered the gold standard in tooth replacement because they're the closest option to your natural tooth.
Learn More About Dental Implants in Tampa, FL
Contact your team at Carrollwood Village Dental at (813) 961-2200 for more information.


In this amazing smile transformation, Dr. Mancuso replaced an entire arch of upper teeth with a custom-designed denture that restores function and aesthetics for this patient. In addition, you can see an immediate change in facial structure after the denture is in place.
This patient can eat and smile with confidence once again!
Want to know what's possible for your smile? Contact your cosmetic dentist in Tampa at (813) 961-2200 and schedule an evaluation to learn more.


Missing teeth and an ill-fitting bridge kept this patient from smiling their best smile. A full restoration of their upper arch allowed them to smile confidently on their daughter's most important day!
Your Tampa cosmetic dentist can help you achieve your best smile too! Call your team at Carrollwood Village Dental to learn more.


This patient presented with a gap in the front tooth sight line due to a missing tooth. Dr. Mancuso replaced the tooth restoring aesthetics and function to the patient's smile.
Contact Your Tampa Cosmetic Dentist
If you're curious about enhancements for your smile, your cosmetic dentist can help! Call us at (813) 961-2200 to schedule an appointment.


Can you believe Dr. Mancuso perfected this smile with only minimal contouring? Contouring smoothes edges and gently reshapes teeth for a more symmetrical, beautiful smile.
Your cosmetic dentist in Tampa, FL, can enhance your smile too! Book an evaluation online or call (813) 916-2200 for more information.